Gum Disease & Bad Breath

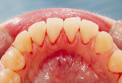
Periodontal disease is caused by plaque that forms on teeth. Plaque will irritate gums, causing them to become red, tender, and swollen. If not removed, plaque hardens to form tartar. Over time, the tissue that attaches the gums to the teeth is destroyed and the gums pull away form the teeth. Small pockets form between the teeth and gums and fill with more plaque.

 Eventually, the jawbone supporting the teeth is destroyed. Periodontal disease is usually painless so most adults are unaware they have it. But if you are diagnosed early, your teeth can be saved.

Other causes of periodontal disease are smoking, excessive consumption of alcohol, improper use of dental floss and toothpicks, an unbalanced diet, vitamin C deficiency, pregnancy and certain medications. Warning signs to look out for are gums that bleed when you brush your teeth, red, swollen or receding gums, and pus between teeth, loose teeth, bad breath, and a change in your bite or the way your dentures fit.

The type of treatment required depends on the stage of the disease.  In the early stages your dentist will recommend professional cleaning followed by daily brushing and flossing.  When gum disease is more serious, your dentist may have to remove the infected gum tissue.  Surgery can sometimes involve reshaping the bone around the tooth or removing a portion of the bone.  In the most serious cases, you may loose a tooth.  Your dentist will advise you on the best way to replace it.

Bad Breath

There are many reasons for bad breath. Plaque and food particles on the teeth are the most common. Practising good oral hygiene will usually help. And this doesn’t mean just brushing your teeth. It’s important to brush your tongue, cheeks and roof of your mouth. Decay-causing bacteria from food particles can develop on these areas, triggering bad breath. So, even though your teeth are cleans, harmful germs can remain in your mouth. 

If good oral hygiene is not practised, this could lead to another common cause of bad breath, gum disease. Your dentist will check for these signs during your visits. Your diet, prescription drugs and systemic diseases and illness such as respiratory problems and diabetes can also be at fault. So don’t be embarrassed, talk to your dentist who can probably help.

1 Step 1
Book an Appointment
Choose Location:
Timeof appointment
access_time
keyboard_arrow_leftPrevious
Nextkeyboard_arrow_right
FormCraft - WordPress form builder