Cosmetic Dentistry

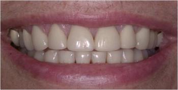
You only have one chance to make a first impression!  A clean, healthy smile is attractive, sexy and a sign of self-confidence.    Now you can design your own smile!  Your smile says a lot about the person you are and it projects your self-image.  Do you wish your teeth were a little whiter, shaped differently, not as crowded, or a space wasn’t as prominent?  Take another look at your smile and talk to your dentist about how you can improve your appearance by designing the course of treatment that is best for you

WHITENING (Bleaching)Only a qualified dental professional can perform tooth-whitening procedures. It is your dentist who understands your dental needs and who can protect your oral health. The results of vital tooth bleaching can be quite spectacular; however, it may not be the choice of treatment for everyone. For example, if you have an anterior white filling or a crown, the bleaching process will affect the colour of the natural tooth but not the restorations. The results can then be disappointing. That is why if you are considering whitening your teeth, you should discuss this with your dentist to determine which method will suit your needs.

There are two different types of whitening procedures that may be performed. One procedure is done in the dental chair where the dentist will apply a hydrogen peroxide solution to the targeted teeth and apply a laser light to accelerate the process. This is often referred to as laser bleaching. Special care is taken to protect the gums and surrounding tissues while the procedure is in progress. This procedure may be repeated until the desired shade is achieved.

The second vital bleaching system is one that you can do at home. You will visit the dental office for the consultation and have an impression taken for a night guard. You will be supplied with a gel that is placed in the night guard that you leave in your mouth for a specific time, sometimes overnight. It is very important to follow home care instructions carefully and not exceed the time when leaving the bleach on the teeth. It is equally as important to see your dentist regularly so he or she may track your progress and assess your treatment.

1 Step 1
Book an Appointment
Choose Location:
Timeof appointment
access_time
keyboard_arrow_leftPrevious
Nextkeyboard_arrow_right
FormCraft - WordPress form builder